Врачи ГКБ им. В.М. Буянова применяют высокотехнологичные операции по имплантации окклюдера ушка левого предсердия в качестве профилактики инсульта у пациентов с фибрилляций предсердий
Имплантация окклюдера ушка левого предсердия — новая методика по профилактике жизнеугрожающих осложнений у пациентов с фибрилляцией предсердий (мерцательной аритмией) — заболеванием, которое характеризуется перебоями в работе сердца и считается одним из самых распространенных среди сердечно-сосудистой патологии.
Для пациентов с нарушением сердечного ритма — фибрилляцией предсердий — основной опасностью является образование тромбов в ушке левого предсердия, которые в любой момент могут с кровотоком попасть в сосуды головного мозга, тем самым вызвать инсульт. Тромбоэмболические осложнения при данном виде аритмии, как правило заканчиваются инвалидностью или летальным исходом.
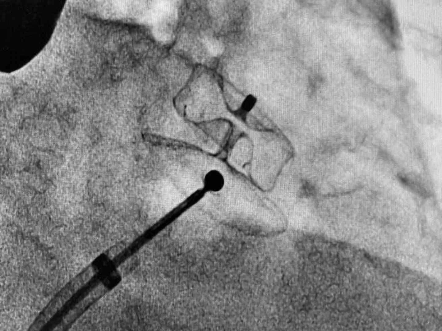
В некоторых случаях антикоагулянты, назначаемые для предотвращения образования тромбов, могут быть противопоказаны. Спасение таких пациентов возможно благодаря специальной операции по имплантации устройства (окклюдера) в ушко левого предсердия, который не дает попасть тромбам в системный кровоток.

«В отделении рентгенохирургии ГКБ им. В.М.Буянова эндоваскулярные окклюзии ушка левого предсердия проводятся с 2021. На сегодняшний день выполнено 17 таких вмешательств. Методика имеет очевидные плюсы, к которым относятся ее малая инвазивность, быстрая реабилитация пациента, надежная профилактика кардиоэмболических осложнений, отсутствие необходимости в последующем принимать антикоагулянты. В 2024 году в ГКБ им. В.М. Буянова запланировано проведение 10 таких операций», — рассказал заведующий отделением рентгенохирургических методов диагностики и лечения, д.м.н. Миронков Алексей Борисович.